Accessible Version
Sunshine Smiles of Orange County

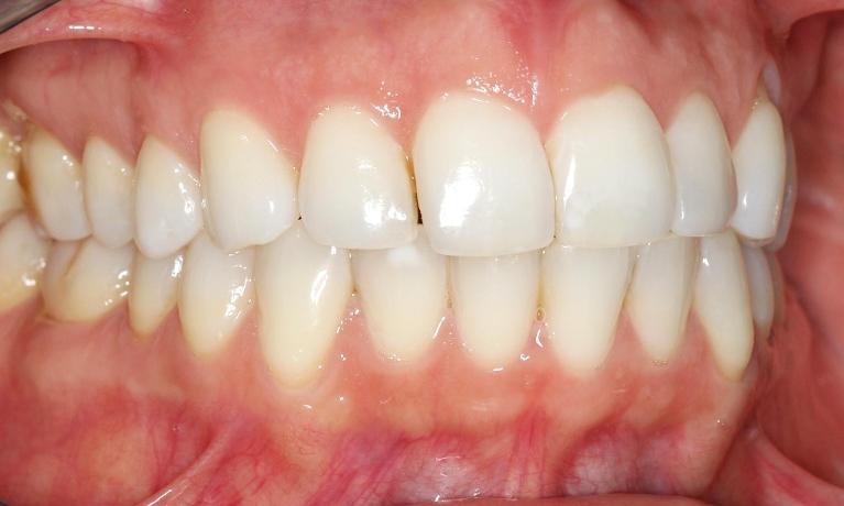
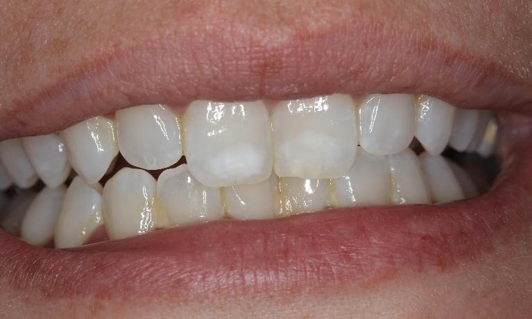
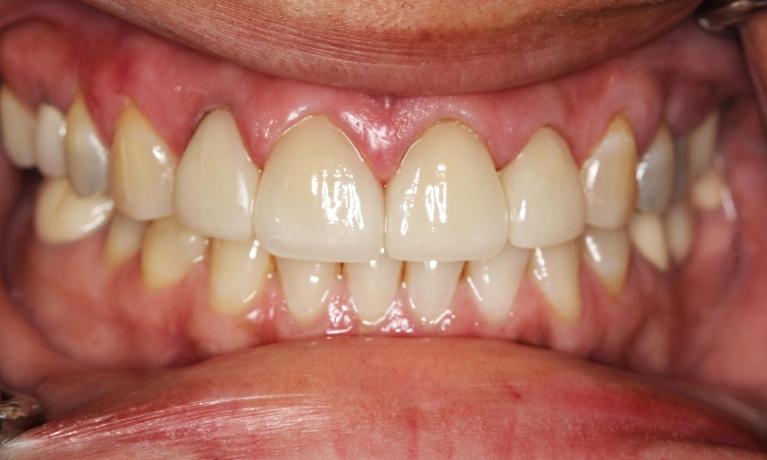
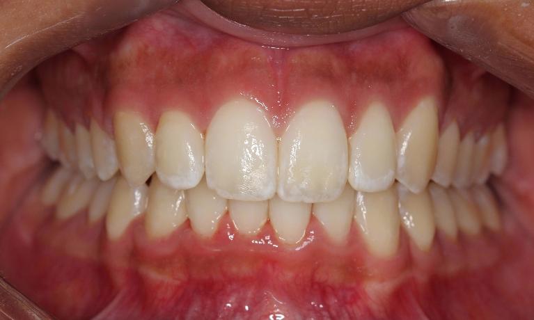
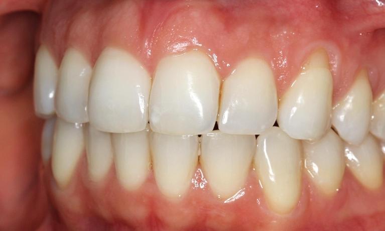
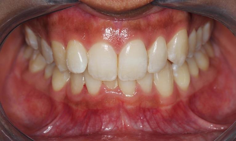
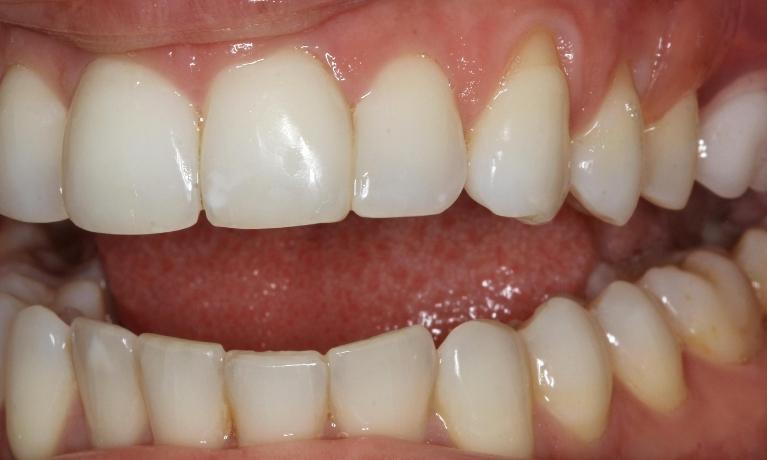
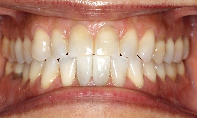
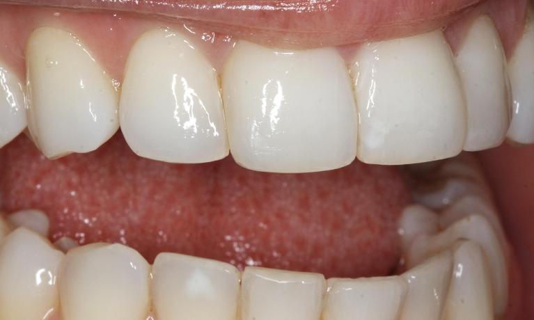
Smile Gallery

We love being able to make our patients smile! Take a look at just a few of the smile transformations that our doctors have made. There will be more to come as we are changing smiles every single day! Will your picture be added to our smile gallery next?

Improve your smile today – call to schedule a consultation!
Wahid W.

Professional and high level of service!
The front desk made me feel at home. The doctor was on time, Very gentle and caring. I left the office with a big smile. I highly recommend the dental office for everyone!!!!
 

If you have difficulty using our website, please email us or call us at (949) 951-0951
View the ADA Accessibility Statement
Privacy Policy